18 Aralık 2025 Perşembe
PATOMED - Patoloji ve Sitoloji Laboratuarı
Tanıtım
Testler
Kurumsal
Akademik
İnsan Kaynakları
İletişim
PATOMED - For English
Ana Sayfa
AKADEMİK
SİTOLOJİK VAKA RESİMLERİ
AKADEMİK
PERİODİKAL YAYINLAR
KALİTE BELGELERİMİZ
VAKA RESİMLERİ
SİTOLOJİK VAKA RESİMLERİ
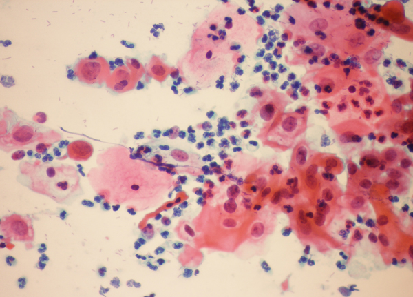
HSIL
HSIL
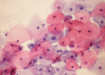
LSIL
KOİLOSİTLER
ASCUS
LSIL
American Society for Clinical Pathology
TANITIM
TESTLER
KURUMSAL
DR. ONAT AKIN
AKADEMİK
İNSAN KAYNAKLARI
İLETİŞİM
©2025 PATOMED
Tüm Hakları Saklıdır / All Rights Reserved
Gürsel Mah. Darülaceze Cad. Ekşioğlu İş Merkezi Kat:3 No: 36 D:4 Okmeydanı – İSTANBUL
Tel: +90 (212) 234 08 52 - Faks: +90 (212) 234 08 54
info@patomed.com
INSTITUTIONAL POLICY
ABOUT US
OUR SERVICES
LABORATORY OPERATION
ACADEMIC CERTIFICATES
CONGRESS CERTIFICATES
QUALITY ASSURANCE
LABORATORY STAFF
CORPORATE MANAGEMENT
HUMAN RESOURCES
CONTACT